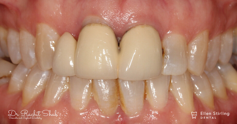
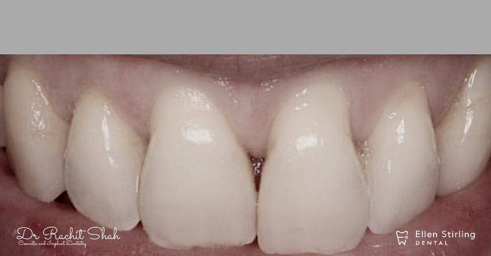
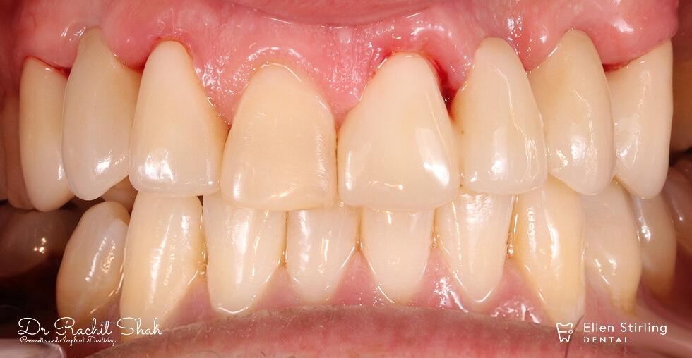
See Our
Smile Gallery And Be Amazed!

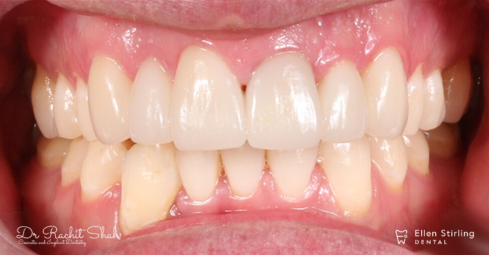
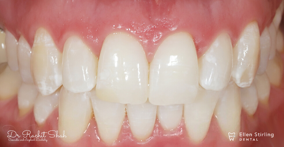
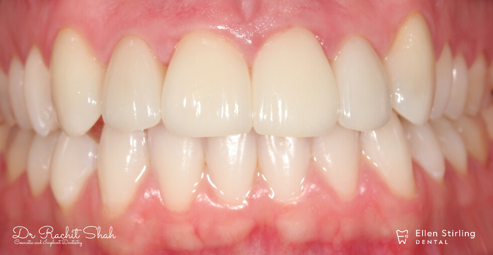
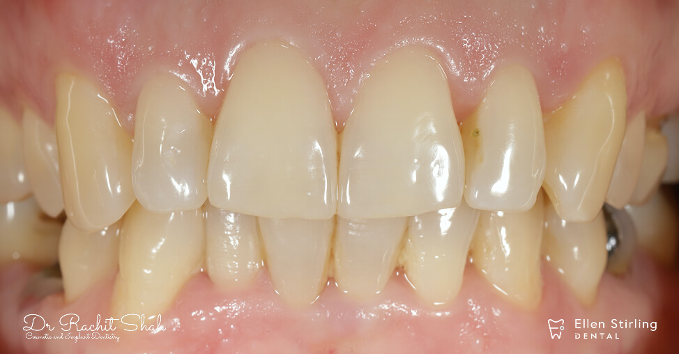
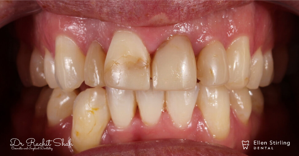
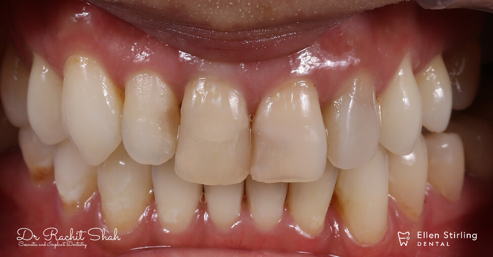
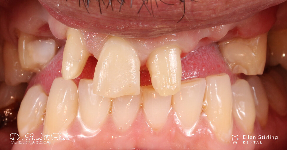
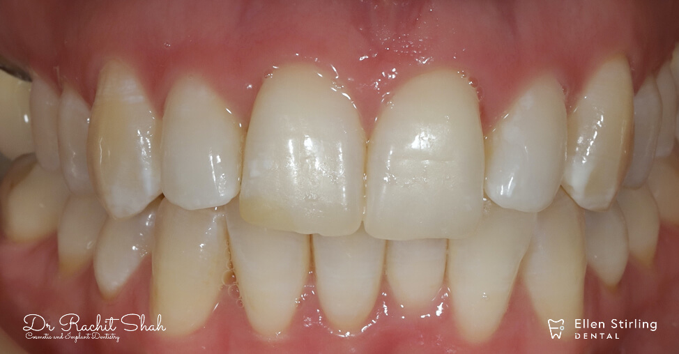
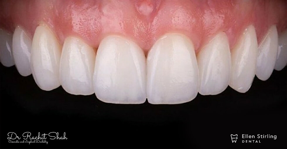
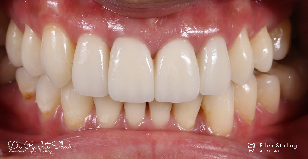
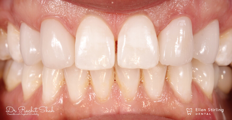
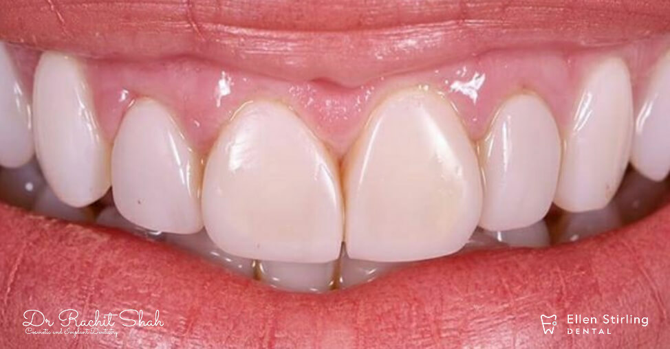
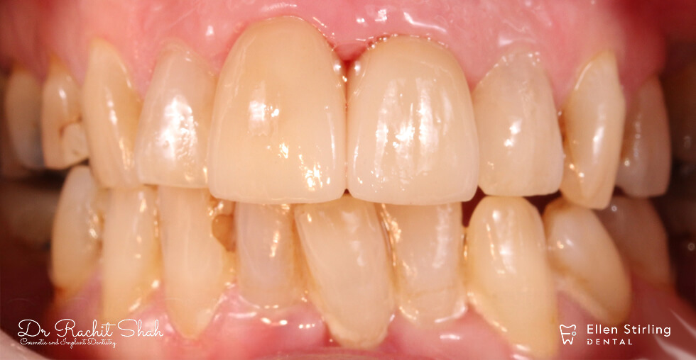
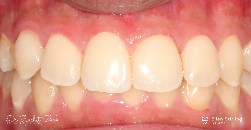
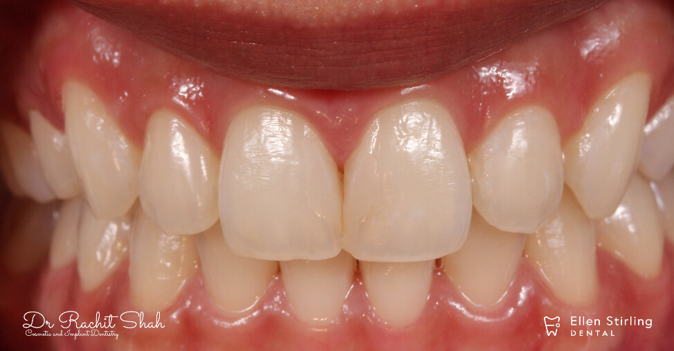
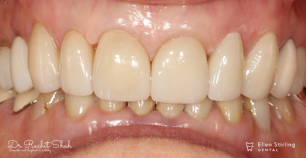
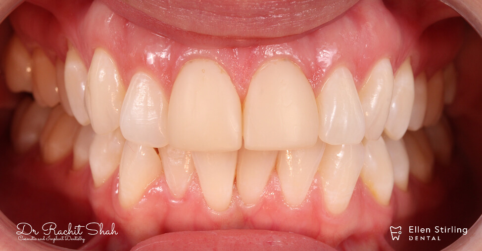
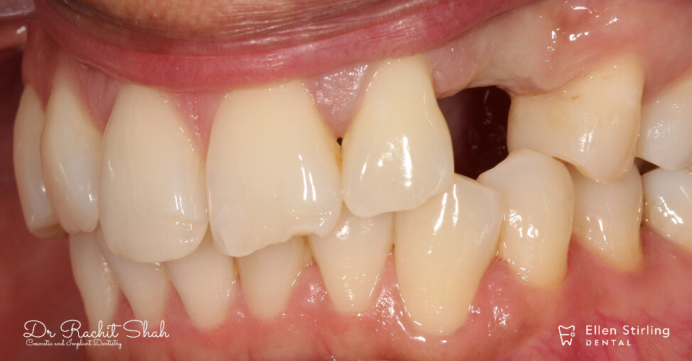
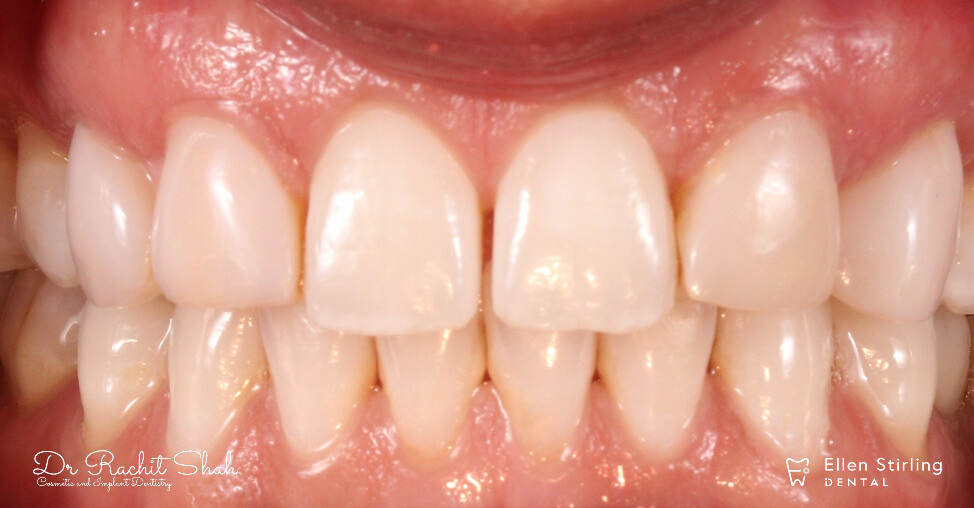
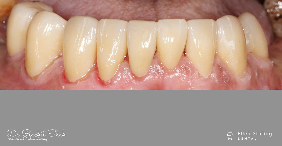
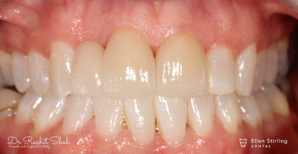
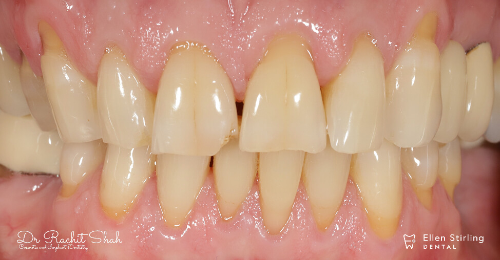
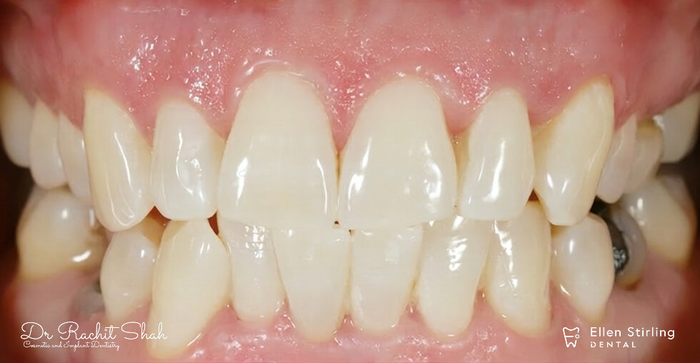
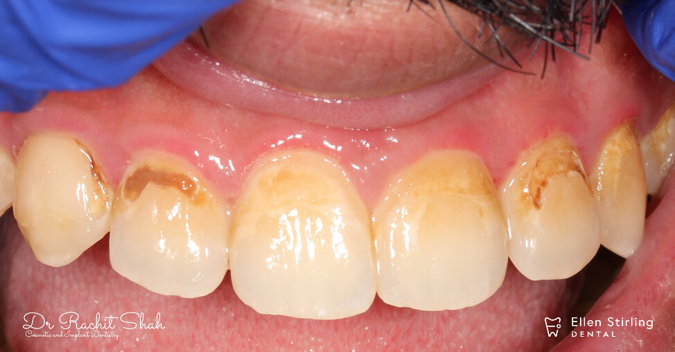
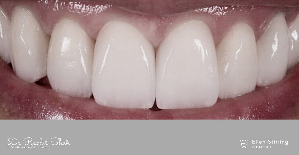
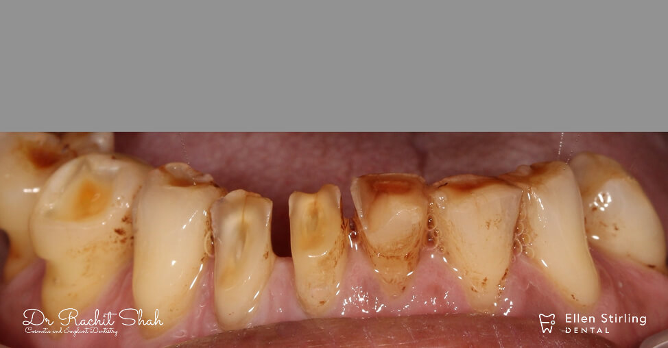
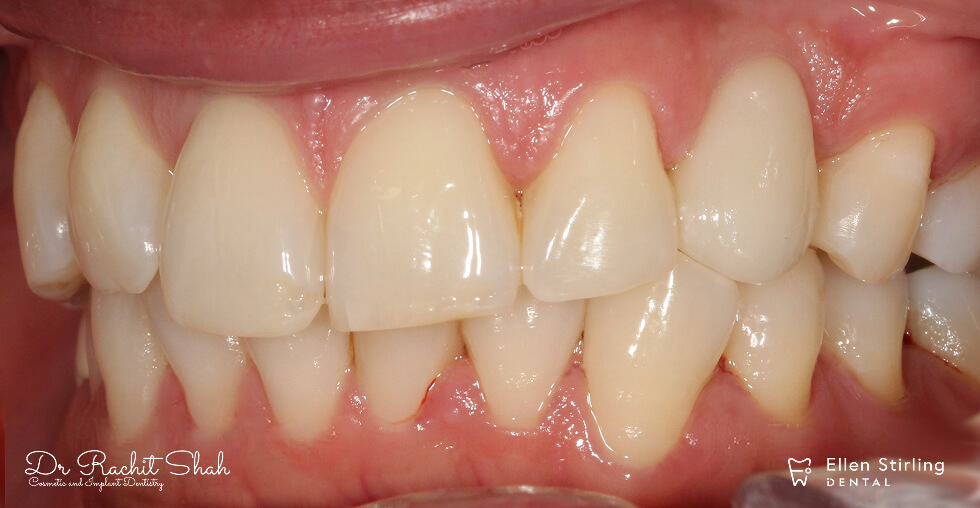
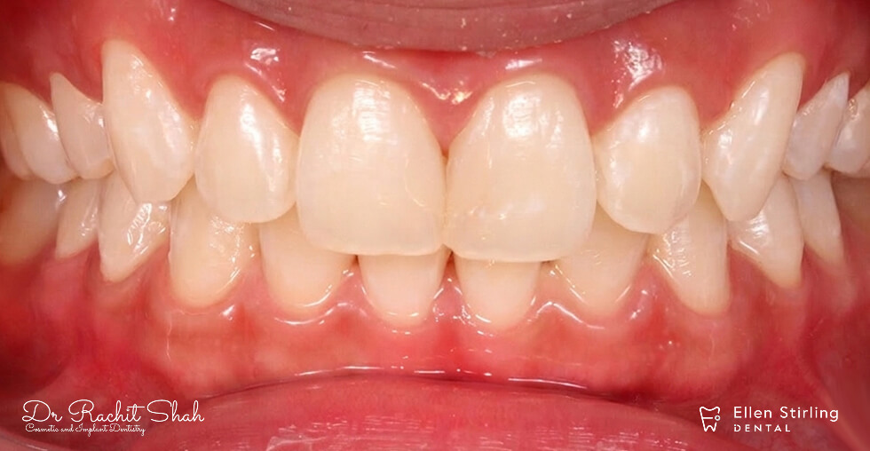
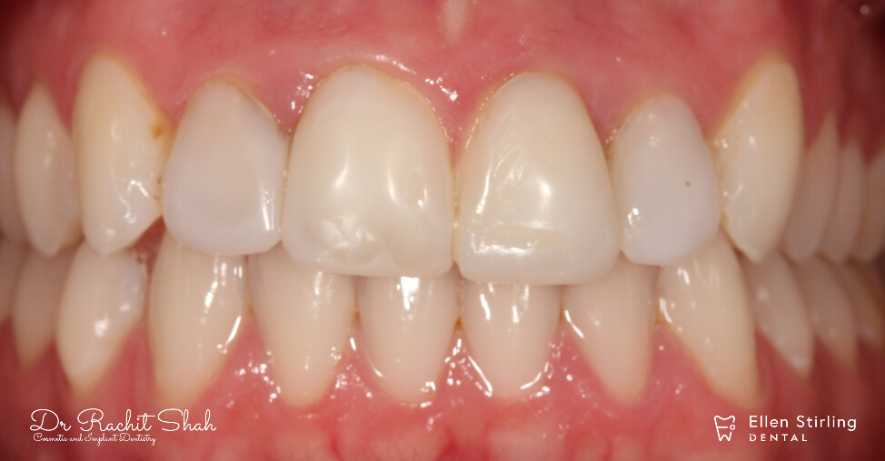
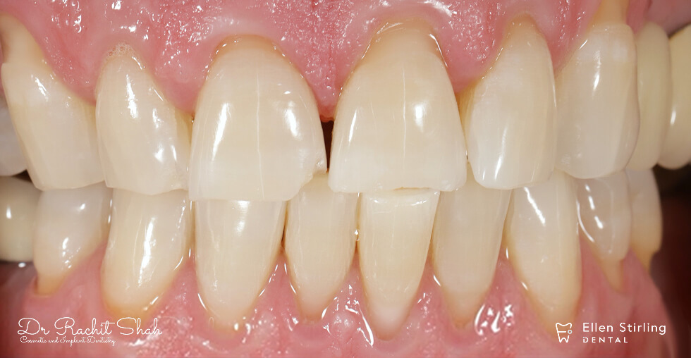
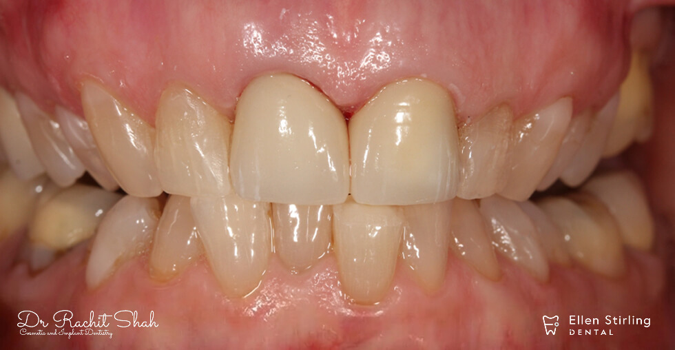
Smile Makeover
Transformation

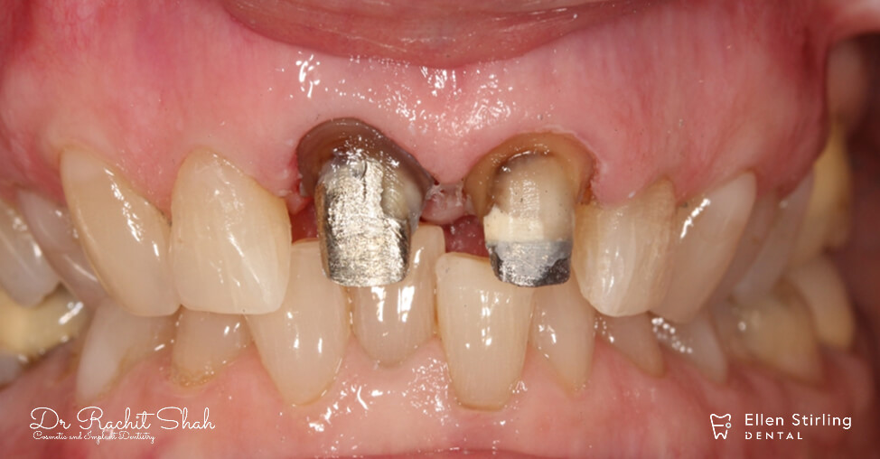
Dental Crowns

Teeth Whitening

Veneers

Composite Bonding

Dental Implants

Full Rehabilitation

*These images display actual patients of our clinic. Every case is different, and treatment outcomes can vary according to individual conditions and needs.